
بهترین دکتر درمان تحلیل لثه در شیراز + لیست 10 تایی
تحلیل لثه یکی از مشکلات شایع دهان و دندان است که میتواند تأثیر قابل توجهی بر سلامت دهان و زیبایی لبخند شما داشته باشد. در این مقاله، به بررسی جامع این مشکل، علل آن، علائم هشداردهنده، روشهای تشخیص و درمانهای موجود میپردازیم.
علل تحلیل لثه
تحلیل لثه میتواند به دلایل مختلفی رخ دهد. برخی از شایعترین علل عبارتند از:
- بیماریهای لثه: پریودنتیت و ژنژیویت از جمله بیماریهای لثه هستند که میتوانند منجر به تحلیل لثه شوند.
- مسواک زدن نادرست: استفاده از مسواک سخت یا تکنیک نامناسب مسواک زدن میتواند به لثهها آسیب برساند.
- ژنتیک: برخی افراد به دلیل عوامل ژنتیکی مستعد تحلیل لثه هستند.
عوامل دیگری مانند سیگار کشیدن، تغییرات هورمونی، دیابت و برخی داروها نیز میتوانند در بروز این مشکل نقش داشته باشند.
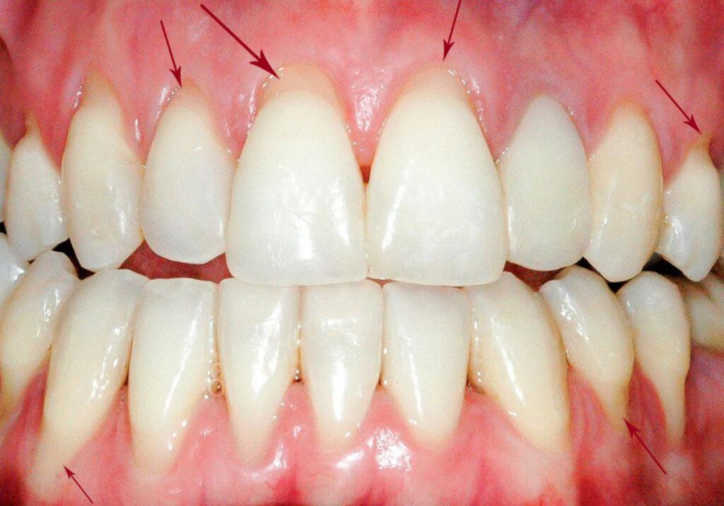
علائم تحلیل لثه
تشخیص زودهنگام تحلیل لثه میتواند در درمان موفق آن بسیار مؤثر باشد. برخی از علائم هشداردهنده عبارتند از:
- حساسیت دندانی: افزایش حساسیت به سرما یا گرما میتواند نشانهای از تحلیل لثه باشد.
- ظاهر طولانیتر دندانها: اگر دندانهای شما بلندتر از قبل به نظر میرسند، ممکن است دچار تحلیل لثه شده باشید.
- خونریزی لثه: خونریزی هنگام مسواک زدن یا نخ دندان کشیدن میتواند نشانهای از مشکلات لثه باشد.
تشخیص تحلیل لثه
دندانپزشک شما میتواند با انجام معاینه دقیق و بررسی تاریخچه پزشکی شما، تحلیل لثه را تشخیص دهد. در برخی موارد، ممکن است نیاز به انجام رادیوگرافی برای بررسی وضعیت استخوان فک باشد.

روشهای درمان تحلیل لثه
درمان تحلیل لثه بسته به شدت مشکل و علت آن متفاوت است. برخی از روشهای درمانی عبارتند از:
- بهبود بهداشت دهان و دندان: در موارد خفیف، بهبود عادات بهداشتی مانند مسواک زدن صحیح و استفاده از نخ دندان میتواند کمککننده باشد.
- جرمگیری عمیق: این روش برای از بین بردن پلاک و جرم زیر خط لثه استفاده میشود.
- پیوند لثه: در موارد شدیدتر، ممکن است نیاز به پیوند بافت لثه از قسمتهای دیگر دهان باشد.
- درمانهای جراحی: در برخی موارد، جراحیهایی مانند فلپ لثه ممکن است ضروری باشد.
معرفی بهترین دکتر درمان تحلیل لثه در شیراز
دندانپزشکان به درمان انواع مشکلات دهان و دندان میپردازند. از پرکردن دندانهای پوسیده گرفته تا درمان عصبکشی، جراحیهای لثه و اصلاح مشکلات فکی، این پزشکان تخصص دارند. علاوه بر درمانهای پزشکی، دندانپزشکان خدمات زیبایی مانند بلیچینگ دندانها، ایمپلنت و ارتودنسی را نیز انجام میدهند. آنها با استفاده از تکنولوژیهای پیشرفته به درمان دقیق و کمدردسر مشکلات دندانی میپردازند. همچنین، معاینات منظم و پیشگیری از بیماریهای دهانی مانند پوسیدگی و التهاب لثه توسط دندانپزشکان انجام میشود. خدمات دندانپزشکی به بهبود سلامت دهان و دندان کمک کرده و کیفیت زندگی را بالا میبرد. در ادامه به معرفی بهترین دکتر درمان تحلیل لثه در شیراز میپردازیم:
1. دکتر سیداحمدرضا ذکاوت

دکتر سیداحمدرضا ذکاوت از بهترین دندانپزشکان در شهر شیراز است که بیماریهای مختلف این حوزه را به شکل حرفهای و با دقت درمان میکند. ایشان همواره دانش خود را بهروز نگه میدارند و از جدیدترین روشهای درمانی برای حل مشکلات بیماران استفاده میکند. خدمات ایشان همواره رضایت بالای مراجعین را به دنبال داشته است.
آدرس: شیراز، خیابان نشاط، رو به روی سالن سیما صدرا، نبش کوچه 4، طبقه دوم، درمانگاه دندان پزشکی نشاط
تلفن: 07132317429, 0713723469, 09371187271
2. دکتر مریم صلاحی اردکانی

دکتر مریم صلاحی اردکانی به عنوان یک متخصص تخصص دندانپزشکی کودکان برجسته در شیراز شناخته میشود. این پزشک معتبر با استفاده از روشهای مدرن و تجهیزات پیشرفته، خدمات باکیفیتی را به بیماران ارائه میدهد. افرادی که به دنبال یک متخصص خوب در این شهر شیراز میتوانند برای دریافت مشاوره و خدمات درمانی به ایشان مراجعه کنند.
آدرس: شیراز، بلوار شهید رجایی (فرهنگ شهر)، بعد از کوچه 36، ساختمان دردانه، ورودی دوم، طبقه فوقانی شیرینی تمشک، واحد 10
تلفن: 07136327023
3. دکتر لیلا کریمی

دکتر لیلا کریمی یکی از دندانپزشکان برجسته در شهر شیراز است. ایشان از تجربه و مهارت بالایی در تشخیص و درمان انواع بیماریهای حوزه تخصص خود برخوردار است و با استفاده از بهترین و مناسبترین روشهای درمانی، وضعیت بیماران را بهبود میبخشد.
آدرس: شیراز، بلوار پاسداران، روبرو درمانگاه محمدرسول اله، جنب بانک اقتصادنوین، ساختمان وزرا، طبقه 4
تلفن: 07138446816
4. دکتر حمیدرضا رازقی جهرمی

دکتر حمیدرضا رازقی جهرمی دندانپزشک در شیراز است. ایشان با بهرهگیری از تکنیکهای پیشرفته و تجربه وسیع خود، به درمان بیماران میپردازند. ایشان با بررسی دقیق و پیگیری مستمر، بهترین خدمات درمانی را ارائه میدهند.
آدرس: شیراز، میدان معلم ، نبش کوچه 2 فرهنگ شهر, مجتمع پزشکی سما، طبقه 4، واحد 405
تلفن: 09935844523
5. دکتر راضیه قادری

دکتر راضیه قادری از بهترین دندانپزشکان در شهر شیراز است که بیماریهای مختلف این حوزه را به شکل حرفهای و با دقت درمان میکند. ایشان همواره دانش خود را بهروز نگه میدارند و از جدیدترین روشهای درمانی برای حل مشکلات بیماران استفاده میکند. خدمات ایشان همواره رضایت بالای مراجعین را به دنبال داشته است.
آدرس: شیراز، خیابان ملاصدرا، کوچه 4، ساختمان پارسه، واحد 14
تلفن: 09170204979
6. دکتر سیده کوثر سخائی

دکتر سیده کوثر سخائی یکی از دندانپزشکان در شهر شیراز است. ایشان با سابقهای درخشان در درمان انواع بیماریهای حوزه تخصص خود، به بیماران کمک میکنند تا علائم بیماری را کنترل کرده و کیفیت زندگی خود را بهبود بخشند. این پزشک حاذق با معاینه دقیق و بررسی علائم، بهترین روشهای درمانی را برای بیماران انتخاب میکند و با استفاده از این روشهای نوین درمانی، به بهبود سریعتر بیماری کمک میکنند.
آدرس: شیراز، ستارخان، نبش کوچه 14، ساختمان ارکیده، طبقه 3، واحد 5
تلفن: 09039100581, 09932137418, 07136262528
7. دکتر یاسمین قهرمانی

دکتر یاسمین قهرمانی یکی از دندانپزشکان برجسته در شهر شیراز است. ایشان از تجربه و مهارت بالایی در تشخیص و درمان انواع بیماریهای حوزه تخصص خود برخوردار است و با استفاده از بهترین و مناسبترین روشهای درمانی، وضعیت بیماران را بهبود میبخشد.
آدرس: شیراز، خیابان قصرالدشت، کوچه 54، ساختمان گلبرگ، طبقه 4، واحد 40
تلفن: 07136280539, 09170444227
8. دکتر شیما رستمی

دکتر شیما رستمی ، یکی از بهترین دندانپزشکان در شهر شیراز است. ایشان با تکیه بر دانش و تجربه بالای خود، خدمات درمانی حرفهای و دقیقی ارائه میدهند. با معاینات جامع و بررسیهای کامل، مناسبترین راههای درمانی توسط ایشان به بیماران ارائه میگردد.
آدرس: شیراز، خیابان معالی آباد، نبش کوچه 27، ساختمان آوا، طبقه 7، واحد 73
تلفن: 07136340599
9. دکتر مریم ایزدی

دکتر مریم ایزدی از برجستهترین دندانپزشکان در شیراز است. ایشان با استفاده از دانش و تجربهی خود در این حوزه، به درمان بیماران مشغول هستند. ایشان با معاینه دقیق و بررسی کامل وضعیت بیماران، روشهای درمانی مناسب را انتخاب میکنند. توجه ویژه ایشان به نیازهای خاص بیماران و دقت در انتخاب روشهای درمانی باعث جلب اعتماد و رضایت مراجعین شده است.
آدرس: شیراز، خیابان قصرالدشت ، کوچه 20 ، روبروی خیابان برق ، جنب مرکز خرید ، طبقه دوم
تلفن: 07132330839
10. دکتر شیوا جعفریان

دکتر شیوا جعفریان یکی از دندانپزشکان برجسته در شهر شیراز است. ایشان از تجربه و مهارت بالایی در تشخیص و درمان انواع بیماریهای حوزه تخصص خود برخوردار است و با استفاده از بهترین و مناسبترین روشهای درمانی، وضعیت بیماران را بهبود میبخشد.
آدرس: شیراز، بلوار چمران، خیابان نیایش، نبش خیابان بهارنو، ساختمان اندانته، طبقه سوم
تلفن: 09926303307
پیشگیری از تحلیل لثه
پیشگیری همیشه بهتر از درمان است. برای جلوگیری از تحلیل لثه، میتوانید اقدامات زیر را انجام دهید:
- رعایت بهداشت دهان و دندان: مسواک زدن منظم (حداقل دو بار در روز) و استفاده از نخ دندان روزانه ضروری است.
- استفاده از مسواک نرم: مسواکهای نرم آسیب کمتری به لثهها وارد میکنند.
- ترک سیگار: سیگار کشیدن خطر ابتلا به بیماریهای لثه را افزایش میدهد.
- مراجعه منظم به دندانپزشک: چکاپهای منظم به تشخیص زودهنگام مشکلات لثه کمک میکند.
اهمیت درمان به موقع
درمان به موقع تحلیل لثه بسیار مهم است. اگر این مشکل درمان نشود، میتواند منجر به عوارض جدیتری مانند از دست دادن دندان شود. علاوه بر این، تحلیل لثه میتواند بر زیبایی لبخند شما تأثیر منفی بگذارد و اعتماد به نفس شما را کاهش دهد.
نقش تغذیه در سلامت لثه
تغذیه مناسب نقش مهمی در حفظ سلامت لثهها دارد. مصرف غذاهای غنی از ویتامین C، کلسیم و امگا-3 میتواند به تقویت لثهها کمک کند. همچنین، کاهش مصرف قندها و کربوهیدراتهای ساده میتواند خطر ابتلا به بیماریهای لثه را کاهش دهد.
تأثیر استرس بر سلامت لثه
استرس میتواند سیستم ایمنی بدن را تضعیف کند و در نتیجه، خطر ابتلا به بیماریهای لثه را افزایش دهد. مدیریت استرس از طریق تکنیکهای آرامسازی، ورزش منظم و خواب کافی میتواند به حفظ سلامت کلی بدن، از جمله لثهها، کمک کند.
جمع بندی
تحلیل لثه یک مشکل جدی دهان و دندان است که نیاز به توجه و مراقبت دارد. با رعایت بهداشت دهان و دندان، مراجعه منظم به دندانپزشک و درمان به موقع مشکلات، میتوانید از سلامت لثههای خود محافظت کنید. به یاد داشته باشید که لثههای سالم نه تنها برای زیبایی لبخند شما مهم هستند، بلکه نقش حیاتی در سلامت کلی دهان و دندان شما دارند. اگر نگران وضعیت لثههای خود هستید یا علائمی از تحلیل لثه را مشاهده کردهاید، حتماً با دندانپزشک خود مشورت کنید. تشخیص و درمان زودهنگام میتواند از پیشرفت مشکل جلوگیری کرده و سلامت دهان و دندان شما را تضمین کند.
